Doctors found a snake parasite in a woman’s brain — still alive
It’s the first known human infection of this worm, Ophidascaris robertsi
A neurosurgeon pulled this living worm from an Australian woman’s brain. This type of parasite had never before been found in a human. It usually infects pythons.
Canberra Health Services
By Meghan Rosen
The woman’s mysterious symptoms started in her stomach.
First, she experienced weeks of abdominal pain and diarrhea. Then it was night sweats and a dry cough. Doctors examined her and found damaged spots on her lungs, liver and spleen. Maybe it was an infection? She got tested for bacteria. Fungi. A human parasite. Even autoimmune disease. All the tests came back negative.
Three weeks later, the woman was in the hospital with a fever and cough. Her doctors ordered a CT scan. This special type of X-ray lets doctors take detailed pictures inside the body. The scans revealed a clue: Some of the damaged spots in her lungs appeared to be moving.
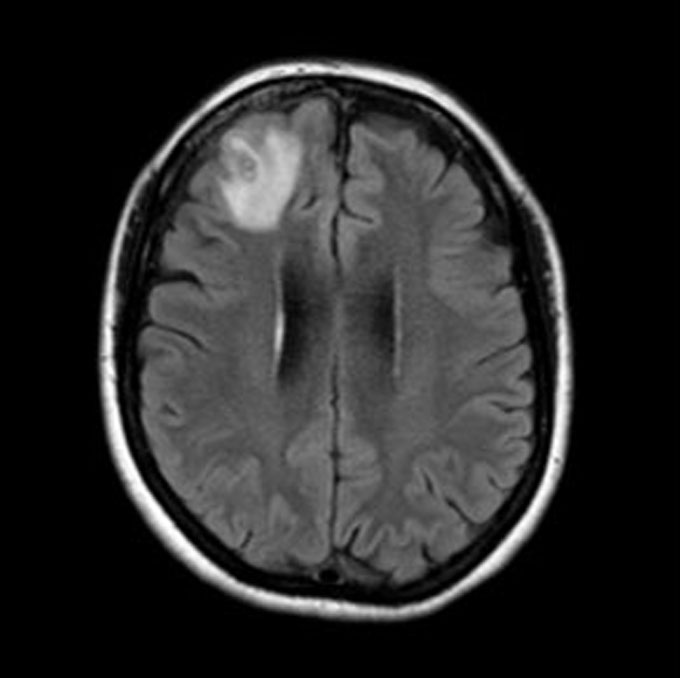
A second clue came months later. The woman became forgetful and depressed. Fortunately, a physician noticed something was off and ordered an MRI scan of her brain. It turned up a ghostly glow in her right frontal lobe.

That glow could mean different things, says Sanjaya Senanayake. He’s an infectious disease physician at the Australian National University and the Canberra Hospital. The spot could have been cancer. Or maybe a pocket of pus. “No one thought it was going to be a worm,” he recalls.
A neurosurgeon performed a biopsy — removal of a tiny bit of tissue — from the woman’s brain. That’s done to check for disease. But during the procedure, her surgeon spotted a suspicious stringlike structure. The doctor plucked it out with forceps. It was pinkish-red, about half the length of a pencil — and wiggling.
“It was definitely one of those ‘Wow!’ moments,” Senanayake says. “A worm in the brain!” But the doctors also felt relieved. It meant they had a diagnosis. The team finally knew how to treat this patient.
The roundworm they found is called Ophidascaris robertsi. Usually, its main host is a snake. This infection was the first ever seen in a human. Senanayake’s team reported the case in the September Emerging Infectious Diseases.
“The live wriggling worm was … what got everyone so interested,” Senanayake says. “But there’s a more important side to it.” This was a parasite that jumped from wild animals to a human. As people and animal populations overlap, he says, “we’re starting to see more and more of these spillover infections.”
Educators and Parents, Sign Up for The Cheat Sheet
Weekly updates to help you use Science News Explores in the learning environment
Thank you for signing up!
There was a problem signing you up.
Humans can host other animals’ parasites
The worm that doctors found in the woman’s brain was far from its usual home. These parasites typically shuttle between snakes and small mammals. Adult worms tend to live inside carpet pythons (Morelia spilota). These snakes then shed worm eggs in their feces. Rats or possums, for example, can ingest the eggs. Once the eggs grow into larvae, these worms will burrow into the mammals’ flesh. Pythons then eat the infected animals, and the cycle continues.
Humans and most other animals exist outside this loop. (Though in 2019, scientists reported one case of O. robertsi in a koala.)
It’s not clear exactly how Senanayake’s patient became infected. Doctors suspect she may have accidentally eaten worm eggs lurking on some edible plants. She lived in New South Wales, Australia. Her home was near a lake inhabited by carpet pythons. She would often collect a type of native plant called warrigal greens. People commonly put them in salads or stir-fries.
The eggs probably hatched in her body. Then the larvae would have wandered to her organs, causing damage along the way.

O. robertsi worms “do not have teeth,” notes Meera Nair. “But they do migrate through tissue, destroying it.” An infectious disease scientist, Nair works at the University of California, Riverside. There, she studies hookworms and other parasitic worms. The python parasite secretes substances that can dissolve proteins and tissues. Migrating larvae can also trigger inflammation.
That’s probably what led to the damage doctors saw on the woman’s organs, Nair says. She thinks it’s almost certain the worm was to blame for the woman’s sudden brain symptoms.
After the woman’s surgery, doctors treated her with parasite-killing drugs. Since then, her symptoms have improved.
Cat and dog parasites can infect people, too
Different species of roundworms can live inside rats and raccoons — and even in our pets. Those parasites can infect people and worm their way into their brains.
Such infections have shown up among people in the United States, says Jill Weatherhead. She’s an infectious disease doctor who studies parasites at the Baylor College of Medicine. It’s in Houston, Texas.
Consider Toxocara. These worms infect cats and dogs. When those animals poop in backyards, sandboxes or public parks, the worms’ eggs end up where children play. “This is why veterinarians encourage deworming,” she says.
If the dirty sand gets in a kid’s mouth, larvae can hatch a child’s body, much as it would in a dog or cat. But in people, the larvae won’t end up in the gut and grow into adults. Instead, they’ll get stuck in other tissues.
Like O. robertsi worms, Toxocara larvae can inflame internal organs. Doctors have reported cases where the worms wandered up to someone’s eye. “Even though we are accidental hosts,” Weatherhead says, the parasite “can still cause significant disease in humans.”
Roundworms rarely burrow into human brains. But they can infect other body parts. One study estimated that about 1 in 20 people in the United States have been exposed to Toxocara.
The true number is hard to pinpoint. Weatherhead was part of a team that looked at Toxocara cases at a children’s hospital in Texas. Kids living in low-income areas were more likely to be infected, they found. That was especially true where stray dogs and cats roam. Their research was published August 23 in the Pediatric Infectious Disease Journal.
“We shouldn’t be fearful,” Weatherhead says. But it’s important to focus on preventing infections.
Senanayake agrees. “If you handle vegetation or wildlife, just make sure you wash your hands,” he says. “And if you’re cooking and consuming vegetation, make sure you cook it well.” That should reduce the chance of one of these unusual infections.